Droopy Eyebrows
Droopy Eyebrows
Face Concerns

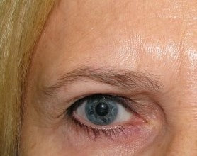
Droopy eyebrows, also known as brow ptosis or brow descent, are a common concern where eyebrows sit lower on the forehead than desired. This can create a tired, aged, or sad appearance, affecting overall facial harmony. This guide explores the causes, symptoms, and treatment options for droopy eyebrows, focusing on achieving lifted, rejuvenated eyebrows.
Symptoms of Droopy Eyebrows
Brow Asymmetry: One eyebrow may appear lower than the other, causing facial imbalance.
Hooded Eyelids: Drooping eyebrows can lead to excess skin on the upper eyelids, resulting in a heavy or hooded appearance.
Forehead Wrinkles: Descending eyebrows can cause horizontal lines or wrinkles across the forehead, contributing to an aged look.
Tired Expression: Droopy eyebrows can give a perpetually tired or sad expression.
Causes of Droopy Eyebrows
Aging: Loss of skin elasticity, collagen, and fat in the forehead region due to aging.
Genetics: Inherited traits that predispose individuals to droopy eyebrows or a heavy brow.
Sun Damage: Prolonged sun exposure accelerates skin aging and collagen breakdown.
Lifestyle Habits: Smoking, poor skincare, and repetitive facial expressions can exacerbate wrinkles and brow descent over time.
Impact of Droopy Eyebrows
Droopy eyebrows can significantly affect facial aesthetics, self-confidence, and quality of life:
Facial Harmony: Properly positioned eyebrows are crucial for facial symmetry and balance.
Perceived Age: Low-set eyebrows can make individuals appear older and more tired.
Expression: Eyebrow position influences facial expressions and emotions.
Confidence: Self-consciousness about appearance can decrease self-esteem and confidence in social and professional settings.
Treatment Options for Droopy Eyebrows
At Beauty by Doctor in Bondi Junction, Sydney, we offer a range of treatments for droopy eyebrows:
Brow Lift Treatment: Neuromodulators like Botox are used to lift and reposition the eyebrows, resulting in a youthful and refreshed appearance.
AccuTite: A minimally invasive radiofrequency device that tightens and lifts the eyebrows by delivering controlled thermal energy to deep skin layers.
Elasticum Threads: Absorbable sutures that provide structural support and stimulate collagen production, lifting and rejuvenating the eyebrows.
Acclaro UltraClear: A state-of-the-art laser treatment that offers precise skin resurfacing, tightening, and lifting of the brow area, enhancing overall eyebrow positioning.
Why Choose Beauty by Doctor for Droopy Eyebrow Treatments?
Beauty by Doctor offers exceptional care and superior results for droopy eyebrow treatments:
Expertise: Dr Phoebe Jones is a highly skilled medical professional with specialised facial anatomy and aesthetics training.
Comprehensive Approach: Combining multiple modalities like Brow Lift injections, AccuTite, UltraClear, and Elasticum threads for optimal outcomes.
Personalised Care: Tailored treatment plans based on individual patient needs and goals.
Droopy eyebrows can impact facial aesthetics and self-confidence. At Beauty by Doctor in Bondi Junction, Sydney's Eastern Suburbs, we provide advanced treatments to achieve lifted, rejuvenated eyebrows. Our clinic ensures personalised care and outstanding results. Ready to enhance your facial harmony and appearance? Schedule a consultation with us today.